The human protein atlas blog


The housekeeping proteome

2016-06-28
Cytoskeleton Gene expression Housekeeping Metabolism Proteome RNA


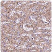
Immunohistochemical staining showing the nuclear localization of the polymerase protein POLR2A responsible for synthesizing messenger RNA in eukaryotes.

A large number of proteins are needed in all cells throughout the human body. These proteins are sometimes called housekeeping proteins, suggesting that their expression is crucial for the maintenance of basic functionality of all normally functioning cells.

A transcriptomics analysis shows that about 9,000 genes are expressed in all tissues and are therefore expected to fulfill these tasks, such as gene expression, metabolism, and cell structure.

As for gene expression, it is easily understood that every cell must have proteins that are involved in the genetic machinery of translating DNA to functional proteins, like RNA polymerases and ribosomal proteins. There are 31 RNA polymerase related genes, and 30 of these are expressed in all tissues examined.

Apart from being able to translate DNA to protein, a cell also needs to extract energy from organic matter and to utilize the energy to construct necessary components. These processes are together referred to as metabolism.

The citric acid cycle is a central part of the metabolic pathway, which converts organic matter from carbohydrates, proteins, and fats into chemical energy though a series of chemical reactions. The enzymes that catalyze these reactions are good examples of housekeeping proteins, since all cells require energy to sustain. Out of the 30 genes involved in the citric acid cycle 26 are found to be expressed in all tissues.

Many proteins involved in the basic structure of the cell are expressed ubiquitously in all cell types, since all cells naturally need certain structures and scaffolds to function. Structural proteins can have numerous functions, but one crucial and obviously housekeeping function is providing rigidity to the cell and to maintain its shape, a task fulfilled by the cytoskeleton. Out of the 451 genes directly associated to the cytoskeleton over half (235) are expressed in all tissues.

Explore the housekeeping proteome.

Learn about the polymerase protein POL2RA.


Frida Henningson Johnson



Blog archive

2025
2024
2023
2022
2021
2020
2019
2018
2017 (57)
2016 (76)
2015 (13)