The human protein atlas blog


650 genes associated with prognosis in Lung Cancer

2017-10-13
Cancer CancerProteomics Immunohistochemistry Lung cancer Pathology Atlas Proteomics TCGA


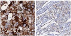
Figure 1. Immunohistochemical staining of MPC1 using antibody HPA045119 shows differential expression pattern, both high (left panel) and low (right panel), in samples from lung cancer patients.
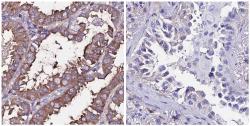
Figure 2. Immunohistochemical staining of S100A16 using antibody HPA045841 shows differential expression pattern, both high (left panel) and low (right panel) in samples from lung cancer patients.

As part of the release Pathology Atlas release, the Human Protein Atlas will each week present a brief and informative summary highlighting genes with prognostic association in different cancer forms. This week, we will focus on Lung cancer one of the deadliest cancers in the world today.

Lung cancer patients have a poor outcome with a 5-year survival rate of 13.6% in men and 19.4% in women. Late diagnosis and lack of effective treatments are considered to contribute to poor prognosis. Smoking is the leading risk factor and is responsible for 70-90% of the lung cancer cases. Lung cancer can be divided into small cell lung cancer (SCLC) and non-small cell lung cancer (NSCLC). The latter is the most common form; approximately 80-85% of all lung cancer cases are NSCLC. Moreover, this form can be divided into subtypes: adenocarcinoma and the subtype that is most common among smokers, squamous cell carcinoma.

When treated at early stages the tumors are removed surgically, and in some cases, with the addition of radiotherapy. At later cancer stages cytotoxic drugs are used together with palliative treatment.This news post focuses on two genes in the subtype adenocarcinoma (LUAD) that are interesting for both favourable and unfavorable lung cancer prognosis.

The analysis of prognostic genes in lung cancer was based on publically available gene expression data and clinical metadata from from the Cancer Genome Atlas (TCGA) consisting of 994 patients. According to the analysis 650 genes were associated with prognostic outcome, out of which 354 genes were associated with unfavourable prognosis and 296 genes with favourable prognosis.

The protein encoded by this gene MPC1 is part of an MPC1/MPC2 heterodimer that is responsible for transporting pyruvate into mitochondria. The encoded protein is found in the inner mitochondrial membrane. Defects in this gene are a cause of mitochondrial pyruvate carrier deficiency. According to our analysis, higher mRNA expression of MPC1 is associated with a favorable prognosis in LUAD patients. Immunohistochemical staining using an antibody targeting MPC1 (HPA045119) shows differential expression pattern in lung cancer samples (Figure 1).

Genes with the prefix S100 are members of a gene family associated in many cancer types. Some of them are used in the diagnostics of cancers that embryonically stem from the neural crest, which include melanoma and neurological cancers. However, in our analysis, higher mRNA expression of S100A16 was shown to be associated with unfavourable prognosis in lung cancer patients. Immunohistochemical staining of S100A16 showed a differential nuclear expression pattern in lung cancer samples (Figure 2). If you missed the launch of the Pathology Atlas, you can read a summary here, and do not miss the related research article, published in the previous August issue of Science.

The Lung cancer proteome can be explored more in depth in the Pathology Atlas.

References


Uhlén M et al, 2017. A Pathology Atlas of the Human Cancer Transcriptome. Science DOI: 10.1126/science.aan2507

Links


Lung Cancer Dictionary



Blog archive

2025
2024
2023
2022
2021
2020
2019
2018
2017 (57)
2016 (76)
2015 (13)