The human protein atlas blog


Potential new tool for measuring beta cell mass

2016-03-29
Beta cells Diabetes Pancreas Proteome Tissue Atlas


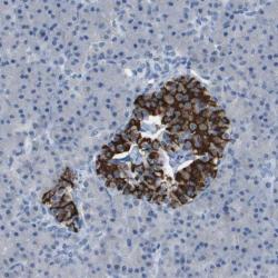
Immunohistochemical staining of human pancreas shows strong cytoplasmic positivity in islet cells.

In a recent study, scientists including members of The Human Protein Atlas project have identified the beta cell specific protein GPR44 as a potentially novel tool for measuring beta cell mass in vivo, using radiolabeled PET ligands targeting GPR44.

The pancreatic beta cell is responsible for producing insulin and beta cell loss is one of the causes underlying diabetes. Blood biomarkers to measure beta cell function exist, but there is a lack of good tools for measuring the beta cell mass inside the body.

In this study, the ligand targeting GPR44 was compared to a ligand targeting the established beta cell marker VMAT2, and the performance was evaluated. The researchers found the endocrine-to-exocrine binding ratio was approximately ten times higher for the GPR44-ligand than for the VMAT2-ligand, and that the GPR44-ligand's specific binding to human beta cells was close to 50 times higher than in exocrine preparations.

This novel and highly beta cell-specific target opens up for future development of non-invasive measurements of beta cell mass. These could be used for the treatment and management of diabetes since they offer an improved imaging contrast between the human beta cell and the exocrine pancreas.

Read the whole story in Acta Diabetologica.

Explore the expression of proteins mentioned in this article in the Human Protein Atlas:

GPR44 (also known as PTGDR2)

VMAT2 (also known as SLC18A2)

In the Human Protein Atlas you can learn more about the pancreas-specific proteome.



Blog archive

2025
2024
2023
2022
2021
2020
2019
2018
2017 (57)
2016 (76)
2015 (13)