The human protein atlas blog


NIFK interacts with the proliferation marker Ki-67

2017-05-24
Cancer Cancer Atlas Image of the month Immunocytochemistry Immunohistochemical staining KI-67 Melanoma Pathology Atlas Skin cancer


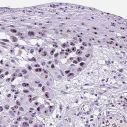
Skin with growth of a cutaneous melanoma expressing the protein NIFK.

Melanoma is a common form of cancer in the skin and among skin cancers it is the most deadly form. Melanoma originates from cells of melanocytic origin and most typically begins as a small intraepidermal tumor (melanoma in situ). As the tumor continues to grow and progress, tumor cells invade the epidermis and eventually spread to regional lymph nodes and subsequently via hematogenic spread to distant organs. Tumor thickness of the primary tumor is the most important determining prognostic factor and thus is early discovery of key importance for survival.

The cancer image of the month shows skin with growth of a cutaneous melanoma. Melanoma cells are seen underneath epidermis in the left half of the image. Tumor cells have large nuclei with irregular and large nucleoli that clearly express the Nucleolar protein interacting with the FHA domain of MKI67 protein (NIFK). The melanoma cells represent a rapidly growing cell population with a high level of proliferation. The covering epidermis also shows keratinocytes with large nucleoli expressing NIFK, although these keratinocytes in the upper half of epidermis are undergoing terminal differentiation and have lost their proliferative capacity.

NIFK interacts with the proliferation marker Ki-67 (MKI67), which is the most used immunohistochemical marker in clinical medicine. This marker is used to assess the level of proliferation in a wide range of different tumors, since the Ki-67 protein is expressed throughout the active cell cycle (G1-S-G2-M). Although the precise function is unknown, NIFK also binds to RNA and nucleotides. View normal tissue expressing NIFK and MKI67.

For more information about the cancer proteome visit our portalCancer Proteome!


Fredrik Pontén



Blog archive

2025
2024
2023
2022
2021
2020
2019
2018
2017 (57)
2016 (76)
2015 (13)