The human protein atlas blog


Crystallins are proteins expressed in the human eye with a long life

2017-07-22
Eye Image of the week Immunocytochemistry Immunohistochemistry Lens proteins Pathology tissue Tissue Atlas

The beta-crystallin B2 protein, encoded by the CRYBB2 gene, is a very important structural component of the human eye lens. Immunohistochemical staining of CRYBB2 protein shows specific expression in the lens.

Previously we have highlighted proteins expressed in the human neural retina. This week's article emphasizes the cellular structure and molecular dynamics of the lens.

The main function of the lens is to focus light on the retina. The passage of light through the cornea, lens and vitreous all the way to the retinal layer of the eye is only possible due to transparency of the tissue. Although the lens is very protein-rich, light absorption and light scattering in the lens is minimal.

The lens comprises non-diving lens cells which are mainly composed of ordered proteins called crystallins...Read more


NIFK interacts with the proliferation marker Ki-67

2017-05-24
Cancer Cancer Atlas Image of the month Immunocytochemistry Immunohistochemical staining KI-67 Melanoma Pathology Atlas Skin cancer

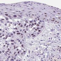
Skin with growth of a cutaneous melanoma expressing the protein NIFK.

Melanoma is a common form of cancer in the skin and among skin cancers it is the most deadly form. Melanoma originates from cells of melanocytic origin and most typically begins as a small intraepidermal tumor (melanoma in situ). As the tumor continues to grow and progress, tumor cells invade the epidermis and eventually spread to regional lymph nodes and subsequently via hematogenic spread to distant organs. Tumor thickness of the primary tumor is the most important determining prognostic factor and thus is early discovery of key importance for survival.

The cancer image of the month shows skin with growth of a cutaneous melanoma...Read more


A subcellular map of the human proteome

2017-05-12
Cell Atlas Immunocytochemistry Immunofluorescence Organelle Science subcellular structure

30 organelles and substructures are annotated in the Cell Atlas.

The Cell Atlas database was just recently released with data on more than 12.000 proteins and mapping to 30 organelles. Today, the scientific findings are published in Science in "A subcellular map of the humanproteome".

The cell is a complex entity that carries out multiple functions. In order to do this, the different parts of the cells are organized in structures, called organelles. By investigating the organelles and its proteome, and to understand how the proteins vary over time and space we can truly begin to understand human biology on a detailed level...Read more


Tissue Atlas: microscopy and annotation

2017-03-28
Annotation Immunocytochemistry Microscopy Tissue Atlas

Borbala Katona at the microscope

Today, we are back in the Tissue Atlas facilities at the Rudbeck lab in Uppsala. Borbala Katona and Maria Aronsson are research engineers in the group working with microscopy and annotation of stained tissues, which we described last week.

Borbala Katona has a bachelors degree in biomedicine and a masters degree in infectious medicine and has been working within the Human Protein Atlas since 2014.

Maria Aronsson has a masters degree in medical biology from Linköping University and joined the Human Protein Atlas in 2012...Read more


Tissue Atlas: production and staining

2017-03-21
Antibody Immunocytochemistry Tissue Atlas

Today, we start a "mini-series" about our Tissue Atlas here at the blog. Join us on a tour through the lab, meet some of the people working there, and see some really nice images produced by the scientists.

All the work on our Tissue Atlas is done at our Uppsala site, with Cecilia Lindskog as site director. You can learn all about her in one of our previous blog posts.

First we meet research engineer IngMarie Olsson who is group leader for the Tissue Microarray Production, Immunohistochemistry, and Scanning-group...Read more


Blog archive

2026
2025
2024
2023
2022
2021
2020
2019
2018
2017 (57)
2016 (76)
2015 (13)