The human protein atlas blog


Prognostic impact of COX-2 in lung cancer

2015-11-17
Cancer COX-2 Lung cancer Microarray Tissue Atlas


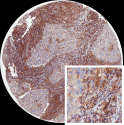
COX-2 expression in stroma
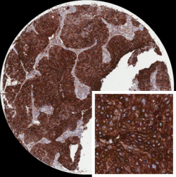
COX-2 expression in tumor

In a study performed by scientists at Uppsala University, in collaboration with Gothenburg University and the Human Protein Atlas project, the expression of cyclooxygenase-2 (COX-2) was evaluated in patients with non-small cell lung cancer (NSCLC).

To clarify previous inconsistences concerning the prognostic impact of COX-2 expression in NSCLC, the association between COX-2 transcript levels (encoded by the gene PTGS2) and overall survival in nine publicly available gene expression microarray data sets were evaluated as well as the in situ protein expression of COX-2 in tumor and stromal cells in two independent NSCLC cohorts.

  • COX-2 is frequently compartment specific expressed in human non-small cell lung
  • COX-2 expression in tumor cells is not associated with prognosis
  • COX-2 expression in stromal cells may have a prognostic impact

    Gene expression analysis did not show any prognostic significance in the meta-analysis comprising the publicly available gene expression data sets. Protein expression in tumor cells did not correlate with any clinical parameters or with overall survival in both analyzed cohorts, while a significant association of high stromal expression with longer survival was observed in one of the two cohorts.

    Stromal expression of COX-2 has not been extensively evaluated in NSCLC previously, and may be a subject of further investigation.

    However, the presented findings from this evaluation reject the hypothesis of COX-2 tumor cell expression having a prognostic value in NSCLC.

    References


    Mattsson et al. 2015, Prognostic impact of COX-2 in non-small cell lung cancer: A comprehensive compartment-specific evaluation of tumor and stromal cell expression, DOI:10.1016/j.canlet.2014.10.032



  • Blog archive

    2025
    2024
    2023
    2022
    2021
    2020
    2019
    2018
    2017 (57)
    2016 (76)
    2015 (13)